Navi Introduction
Navi Series
The Dedicated Anesthesia Ultrasound
Anesthesia Development
Blind Injection
- High risk
- Nerve injury
- Drugs in vessel
Via Stimulator
- High risk
- Nerve injury
- Drugs in vessel
Ultrasound Guide
- Completely visible
- Nerve safe
- Injection under control
Anesthesia
General Anesthesia
Regional Anesthesia
Regional Anesthesia
Epidural
Peripheral Nerve
Limited Space
Smart Design
Industry Full Touch Screen Display
- 19 -inch screen
- Disinfection by 75% alcohol directly
- Operation with latex gloves
Whole-day Battery Backup
7 Hours Battery
- Support working whole day
- Battery LED-display
Electrical Height Adjustment
- 300mm
- 2 button for up and down
- Doctors can adjust a position they feel comfortable via a button
Probe Disinfection
Dedicated probe holders for easily complete the probe disinfection by single person
Advanced Feature
Needle Visualization
wiGuide Megnetic Needle Tracking
wiNeedle Auto Needle Enhancement
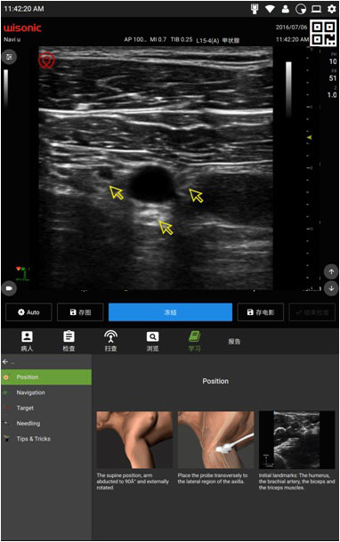
wiLearn
Education Center
- Full range of POC application package
- Shorten time of learning
- Comprehensive Teaching Content
- Detailed Operation Steps
- Online Learning, Anatomy, Ultrasound Graphics



wiShow
Video Recording Feature
- Image, gesture, voice, are simultaneously recorded
- Cloud replay HDMI output
- Long duration time
Video Recording Feature
- Upload to the Twitter Facebook ,Linkedin, you can get likes and comment
- Teaching lessons for Academic Exchange
Multi-Applications
Navi Probe Family
- Diversified probe family provides complete
- solutions for various clinical occasions
Remote Control Probes
- Provide doctors adjustment of gain,depth,freeze
- Suppose a doctor stand behind bedside, keeping a long distance from the device
LH15-6 Probe
- Pain management
- Superficial vascular ,nerves, small joints, kid‘s fingers,hands
- High frequency and more details
wiCloud
Remote Diagnosis
- Real Time Teleconsultation
- Face to Face in wiCloud
Remote Control
- After sale engineers can adjust the image parameters check the malfunction by phone
- Reduce maintenance costs
30 countries!
Over 1000 installations!
In a short 2 years launch!
| Navi Series Probe Sheet | ||
|---|---|---|
| C5-1B | ![]() |
Application: Adult Abdomen, Ped-Abdomen, OB&GYN, Vascular, Nerve
Bandwidth: 1-5MHz Radius: 54mm Biopsy Guide: JSM-059, 20°, 27°, 37°, reusable |
| C5-1 | ![]() |
Application: Adult Abdomen, Ped-Abdomen, OB&GYN, Vascular, Nerve
Bandwidth: 1-5MHz ExFOV: 70° Biopsy Guide: JSM-050, 20°, 30°, 40°, reusable |
| C7-2 | ![]() |
Application: Adult Abdomen, Ped-Abdomen, OB&GYN, Vascular, Nerve
Bandwidth: 2-7MHz ExFOV: 80° Biopsy Guide: Not available |
| C8-3 | ![]() |
Application: Ped-Abdomen, Ped-Cardiac, Neonatal
Bandwidth: 3-8MHz ExFOV: 112° Biopsy Guide: Not available |
| EV10-4 | ![]() |
Application: OB&GYN, Urology
Bandwidth: 4-10MHz Radius: 10mm Biopsy Guide: JSM-028, Single Angle, reusable |
| L15-4B L15-4NB |
![]() |
Application: Small Parts, Vascular, MSK, Nerve, Pediatrics
Bandwidth: 4-15MHz FOV (Max): 38mm Steer: +/-30°, 1° per increment Biopsy Guide: JSM-040, 37°, 46°, 58° reusable |
| L15-4 | ![]() |
Application: Small Parts, Vascular, MSK, Nerve, Pediatrics
Bandwidth: 4-15MHz FOV (Max): 38mm Steer: +/-30°, 1°/increment Biopsy Guide: JSM-041, 37°, 46°, 58° reusable; JSP-020(Plastic), reusable |
| L10-5 | ![]() |
Application: Small Parts, Vascular, MSK, Nerve
Bandwidth: 5-10MHz FOV: 38mm Steer: +/-30°, 1° per increment Biopsy Guide: JSM-032, 37°, 38°, 52° reusable; JSP-021(Plastic), reusable |
| L12-5 | ![]() |
Application: Breast, Small Parts, Vascular, MSK, Nerve
Bandwidth: 5-12MHz FOV (Max): 48mm Steer: +/-30°, 1°/increment Biopsy Guide: Not available |
| LH15-6 | ![]() |
Application: Small Parts, Vascular, MSK, Nerve
Bandwidth: 6-15MHz FOV (Max): 26mm Steer: +/-30°, 1°/increment Biopsy Guide: Not available |
| P4-1 | ![]() |
Application: Adult Cardiac, Ped-Cardiac, TCD, Adult Abdomen
Bandwidth: 1-4MHz FOV (Max): 90° Biopsy Guide: JSM-020, 13°, 24°, reusable |










